Mostovi - navlake

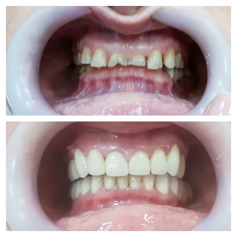
Kada je moderna stomatološka protetika u pitanju danas postoji toliko mnogo mogućnosti za postizanje besprekornog izgleda zuba. Protetika pomaže da se nadokanadi jedan ili više zuba. U tu svrhu izrađuju se zubne krunice navlake koje se koriste kada na zubu postoji velika plomba zbog koje zub može pući pa se u tom slučaju krunice i postavljaju kako bi sačuvale i ojačale zub.

Kada nedostaje jedan ili više zuba onda se izrađuju mostovi , tako što se preostali zubi koriste kao nosače mosta i na njih postavljamo krunice.

Zubni mostovi služe kao nadoknada za izgubljeni zub ili više njih. Sastoje se od  tela mosta ( krunice koja je zamena za zub koji nedostaje) i nosača ( krunice koje su na susednim zubima, odmah do zuba koji se tretira.

U našoj stomatološkoj ordinaciji posebnu pažnju posvećujemo zubnim mostovima, jer sam nedostatak zuba može proizvesti mnogo problema pacijentu, ne samo estetskih, već i funkcionalnih kao što su razvoj parodntopatije i karijesa.

Zubni mostovi mogu biti metalokeramički i bezmetalni.

Kompletan proces izrade zubnih mostova u našoj stomatološkoj ordinaciji počinje prvim pregledom zuba i usne šupljine, nakon razgovora sa pacijentom gde mu predočavamo sve mogućnosti i opcije, a zatim se sprovodi priprema zuba i izrada samih mostova i na kraju detaljne instrukcije o higijeni i održavanju zuba nakon ove intervencije.

Ukoliko pacijent ima više zuba koji nedostaju, najbolje rešenje je zubna proteza. Više o tome saznajte u našoj stomatološkoj ordinaciji.

10 godina postojanja